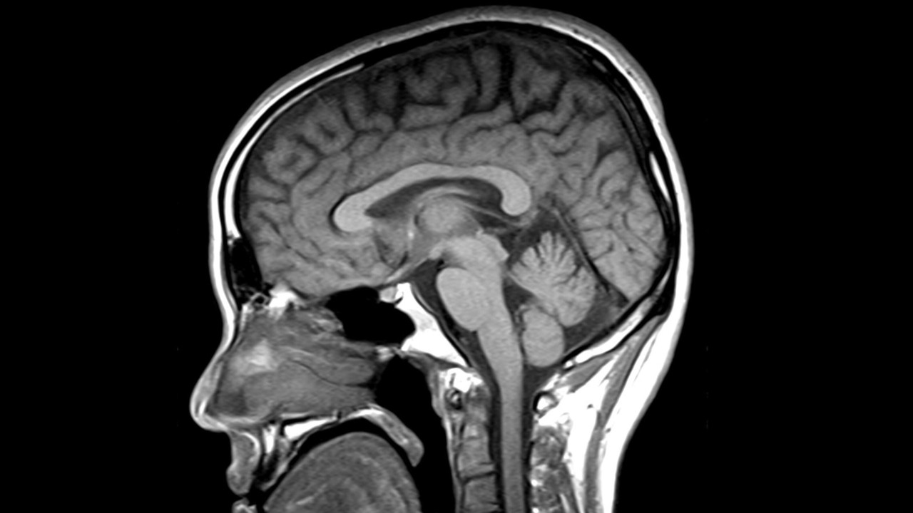
La resonancia magnética está cambiando la forma en que se detectan enfermedades neurológicas poco frecuentes que durante años han pasado desapercibidas. Detrás de síntomas que pueden parecer parte del envejecimiento o del Parkinson, muchos pacientes conviven con diagnósticos tardíos que retrasan cualquier opción de tratamiento.
Un estudio liderado por el Instituto de Investigación Sant Pau (IR Sant Pau), en Barcelona, demuestra que la resonancia magnética puede identificar con mayor precisión la parálisis supranuclear progresiva (PSP) y la degeneración corticobasal (CBD), dos enfermedades infradiagnosticadas. Además, permite seguir su evolución de forma objetiva y mejorar el diseño de ensayos clínicos. El trabajo fue publicado en The Journal of Prevention of Alzheimer’s Disease.
Qué son los parkinsonismos atípicos y por qué se confunden
La resonancia magnética resulta clave para entender enfermedades como la PSP y la CBD, que forman parte de las taupatías, un grupo de trastornos neurodegenerativos relacionados con la acumulación anómala de la proteína tau.
Estas enfermedades afectan áreas cerebrales implicadas en el movimiento y el equilibrio, lo que explica su similitud con el Parkinson.
Entre los síntomas más frecuentes se encuentran:
- Problemas de equilibrio
- Caídas frecuentes
- Rigidez muscular
- Dificultades para hablar
- Alteraciones en el movimiento
«Son enfermedades que provocan problemas de equilibrio, caídas, rigidez o dificultades para hablar y moverse. Muchos pacientes llegan inicialmente a consulta como si tuvieran Parkinson o simplemente como personas mayores con problemas de movilidad», explica el Dr. Jesús García-Castro, investigador del grupo de Neurobiología de las Demencias del IR Sant Pau y neurólogo del Hospital de Sant Pau. Esta confusión ha contribuido a que estén infradiagnosticadas durante años. “Esto hace que estén muy infradiagnosticadas y que durante años no hayamos sabido con suficiente certeza qué enfermedad tenía realmente cada paciente”.
Cómo la resonancia magnética parkinsonismos atípicos mejora el diagnóstico
El estudio demuestra que la resonancia magnética parkinsonismos atípicos permite identificar “firmas cerebrales” específicas de cada enfermedad, incluso en etapas tempranas.
A través del análisis de la atrofia cerebral, los investigadores han logrado diferenciar entre PSP y CBD con alta precisión.
«La resonancia tiene dos funciones fundamentales», explica el Dr. García-Castro. «Por un lado, nos ayuda a diagnosticar con mucha más seguridad en fases tempranas. Y por otro, nos permite medir la progresión de la enfermedad de forma objetiva».
Las diferencias detectadas incluyen:
- En PSP: afectación del tronco encefálico y estructuras profundas
- En CBD: mayor daño en áreas corticales relacionadas con el movimiento
«Aunque clínicamente puedan parecer muy similares, a nivel cerebral la PSP y la CBD dañan el cerebro de forma diferente», señala el Dr. Ignacio Illán-Gala, investigador del grupo de Neurobiología de las Demencias del IR Sant Pau y neurólogo del Hospital Sant Pau, y autor sénior del estudio.
Ensayos clínicos más viables gracias a la resonancia magnética
Otro de los grandes avances de la resonancia magnética parkinsonismos atípicos es su impacto en los ensayos clínicos.
Hasta ahora, estos estudios se basaban en síntomas clínicos poco específicos, lo que dificultaba demostrar si un tratamiento funcionaba.
Con la resonancia magnética:
- Se pueden seleccionar mejor los pacientes
- Se mide la progresión de forma objetiva
- Se reduce el número de participantes necesarios
En concreto, el estudio muestra que:
- En PSP, se puede reducir un 50 % el tamaño de los ensayos
- En CBD, la reducción puede alcanzar el 80–85 %
«Para que una empresa o un consorcio académico apueste por un ensayo clínico, este tiene que ser viable», explica el Dr. Illán-Gala. «Si el ensayo requiere mil pacientes, es prácticamente imposible».
El futuro del diagnóstico precoz en taupatías
Los investigadores ya trabajan en nuevas líneas que combinan resonancia magnética con biomarcadores en sangre para detectar estas enfermedades en fases aún más tempranas.
«Nuestro objetivo es llegar a una situación similar a la del Alzheimer, en la que una combinación de un análisis de sangre y una resonancia magnética permita diagnosticar estas enfermedades en fases muy iniciales y con mucha más seguridad», señala el Dr. García-Castro.
«Estas patologías están mucho más presentes de lo que creemos, pero no las sabemos detectar bien», concluye. «Mejorar el diagnóstico es el primer paso para que estos pacientes, que hoy no tienen ninguna opción terapéutica, puedan empezar a tenerla».
Preguntas y respuestas
¿En qué ayuda la resonancia magnética en estos casos?
Permite identificar con precisión enfermedades como la PSP y la CBD, incluso en fases tempranas.
¿Por qué se confunden con el Parkinson?
Porque comparten síntomas motores como rigidez, caídas y problemas de movimiento.
¿Existen tratamientos actualmente?
No hay tratamientos que modifiquen la enfermedad, pero este avance facilita su desarrollo.
¿Qué cambia en los ensayos clínicos?
Se vuelven más pequeños, precisos y viables gracias a mejores herramientas de diagnóstico.
¿Se podrán diagnosticar antes en el futuro?
Sí, combinando resonancia magnética con análisis de sangre se espera detectar estas enfermedades mucho antes.
Por Karla Islas Pieck
© 2026 Hispanic Information and Telecommunications Network, Inc (HITN). All rights reserved.
Imagen: ©Shutterstock / Chalie Chulapornsiri





