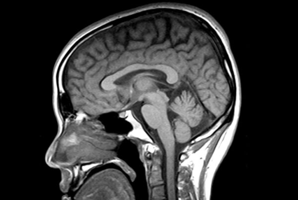
La resonancia magnética está revolucionando el diagnóstico de enfermedades neurológicas poco frecuentes que durante años se confundieron con el Parkinson o el envejecimiento.
Un estudio del IR Sant Pau, en Barcelona, demuestra que esta tecnología permite identificar con mayor precisión la parálisis supranuclear progresiva (PSP) y la degeneración corticobasal (CBD), dos trastornos infradiagnosticados.
¿Por qué se confunden con el Parkinson?
Estas enfermedades forman parte de las taupatías, asociadas a la acumulación anormal de proteína tau en el cerebro.
Comparten síntomas como:
- Problemas de equilibrio
- Caídas frecuentes
- Rigidez muscular
- Dificultades para hablar y moverse
Esto hace que muchos pacientes reciban diagnósticos tardíos o incorrectos.
Cómo mejora el diagnóstico la resonancia
La resonancia magnética permite detectar “firmas cerebrales” específicas:
- En PSP: daño en el tronco encefálico
- En CBD: afectación cortical relacionada con el movimiento
Además, ayuda a medir la progresión de la enfermedad y mejorar los ensayos clínicos, reduciendo hasta un 50 % los pacientes necesarios en PSP y hasta un 85 % en CBD. A futuro, combinar resonancia con análisis de sangre podría permitir diagnósticos aún más tempranos.
Para un análisis más profundo del tema haz click aquí.
Por Karla Islas Pieck
© 2026 Hispanic Information and Telecommunications Network, Inc (HITN). All rights reserved.
Imagen: ©Shutterstock / Pro.Sto





